|
Фромма вылечили! Спасибо всем!
|
|
| sashabreton | Дата: Пн, 22.07.2024, 09:37 | Сообщение # 1 |
|
Генерал-полковник
Группа: Администраторы
Сообщений: 1118
Репутация: 0
Статус: Оффлайн
| Дорогие друзья, недавно у Фромма в карточке мы писали его новости о лечении отита, но оказалось, что все гораздо хуже. Тогда мы и представить не могли, что придется открывать тему...
https://vao-priut.info/load/dogs/ready2go/fromm_b_152/4-1-0-2164
Мы заметили первые признаки болезни, обратились в ветблок приюта (когда там еще были хоть какие-то врачи, сейчас там вообще никого). Ему поставили отит, и сказали что нужно купить из лекарств. Мы купили, помогали обрабатывать.
Прошло время, нос продолжал выдавать слизь и гной, да и глаз не особо становился лучше. Мы заподозревали, что лечение не помогло совсем. Стала появляться и кровь, теперь гной был уже кровянистый, а глаз иногда отекал и заплывал, а гной стал гуще и обильнее.
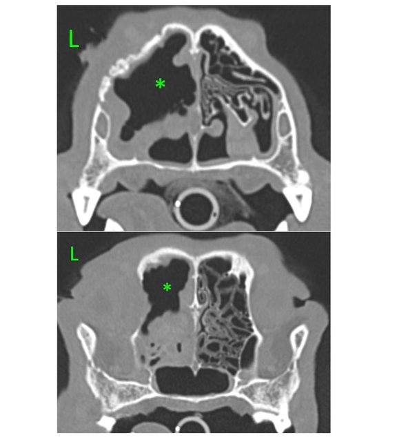
Стали искать куда вывозить на доп. обследование - сдали кровь в приюте и 17 июля вывезли в ИВЦ на прием. Нам выдали заключение и мы даже успели сделать КТ. Фромма вернули в приют, результатов КТ надо было ждать около 3-х дней. Мы за ним наблюдали и ждали.
19 июля вечером мы получаем результаты КТ. Начинаем быстро читать про указанные предварительные диагнозы, способы лечения, выбирать клиники и врача, чтобы получить сначала онлайн-консультацию. 20 июля, в субботу, мы обнаруживаем Фромма в совершенно ужасном состоянии. Мы словили настоящую панику, так как уже зная приблизительно его ощущения и прогнозы на будущее - испугались не на шутку. Всю субботу несколько человек одновременно начали искать хирурга-эндоскописта и клинику, где его примут без кучи предварительных анализов.
Просто поверьте нам, это было нереально сложно, большая Москва, куча ветклиник - но экстренно, за день, с его анамнезом и состоянием на субботу не удавалось найти ничего. Большая часть хирургов в отпусках, где-то нет мест в стационаре, где-то читая документы, не хотят брать не в инфекционный стационар...
Мы благодарим всех администраторов и врачей, которые шли на встречу, смотрели документы онлайн и старались посодействовать. Доктор Михеев И.А. из Ветюнион проконсультировал онлайн бесплатно, и нас даже записали на прием на среду, но потом мы прислали видео и он сказал, что надо действовать быстрее. Светлана Андреевна (бывший главврач Кожухово), тоже готова была помогать, но тоже в среду. В Амвет тоже отнеслись отзывчиво, хирург проконсультировал по результатам КТ без оплаты.
Удалось записаться на 21 июля в клинику в Добрые руки к хирургу Дудочкину М.А. Мы у него оперировали собаку, и знаем как специалиста. Правда в самой клинике тоже не все сразу прошло гладко, но удалось уговорить и анестезиолога и хирурга провести процедуру вне хирургических планов.
Фромму провели риноскопию, взяли все анализы, ждем результатов. Назначили лечение. Мы вообще думали, что ему сразу сделают по показаниям очистку лобных и носовых пазух, но, к сожалению, ни там, ни в других клиниках, ее сразу не делают. Это сложная операция. Возможно она еще понадобится, но пока остается только молиться, что его организм справится.
Друзья, мы просим помочь в возмещение затрат в ИВЦ - это прием 4500 р. (чек на 1200 р. вернули, так как из-за отсутствия реагентов не смогли взять на анализ мазок) и КТ 17000 р. ВСЕГО 21500 р.
Наша карта сбербанк 4276 3800 5075 9419 Светлана Ивановна С. КТ Фромма
КОПИЛКА https://docs.google.com/spreads....9783188
На риноскопию нам помогла прекрасная девушка Анна, также закупим и таблетки на первое лечение.





|
| |
| |
| sashabreton | Дата: Вт, 23.07.2024, 13:06 | Сообщение # 2 |
|
Генерал-полковник
Группа: Администраторы
Сообщений: 1118
Репутация: 0
Статус: Оффлайн
| Переводы добра для Фромма: VISA9419 17:28 Перевод 200р от Виктория К. «Фромм» VISA9419 17:30 Перевод 500р от Елена Е. VISA9419 21:35 Перевод 510р от Ольга Б. «Пожертвования на лечение собак»
Огромное спасибо.
Долг по КТ 20290 р.



|
| |
| |
| sashabreton | Дата: Ср, 24.07.2024, 10:12 | Сообщение # 3 |
|
Генерал-полковник
Группа: Администраторы
Сообщений: 1118
Репутация: 0
Статус: Оффлайн
| Переводы добра.  VISA9419 18:24 Перевод 2500р от Татьяна Г. «На лечение Фромму!!!» + 6000 р. компенсация с общей карты приюта. VISA9419 16:12 зачисление 3000р VISA MONEY TRANSFER от Ирины VISA9419 21:48 Вероника С. перевел(а) вам 2000р. Сообщение: Фромм, пожалуйста, поправляйся
Долг по КТ 6790 р.
|
| |
| |
| sashabreton | Дата: Чт, 25.07.2024, 08:38 | Сообщение # 4 |
|
Генерал-полковник
Группа: Администраторы
Сообщений: 1118
Репутация: 0
Статус: Оффлайн
| Друзья, чтобы облегчить его состояние, и вообще надеяться на полное излечение, нам нужна помощь.
Сегодня мы будем оплачивать онлайн консультацию у Дудочкина 1200 рублей.
Вчера мы передали ему коробку консерв, так как ему явно больно и кушать, он с трудом сглатывает, и сейчас влажный корм будет лучше, чем приютская сушка. Будем заказывать еще консервы к выходным.
Наш бедный Фромм в ту субботу, когда мы потеряли дар речи от увиденного.


|
| |
| |
| sashabreton | Дата: Чт, 25.07.2024, 12:46 | Сообщение # 5 |
|
Генерал-полковник
Группа: Администраторы
Сообщений: 1118
Репутация: 0
Статус: Оффлайн
| Переводы добра.  VISA9419 11:14 Перевод 2000р от Любовь С. «Фромм» 1000 р. "Фромму Катя росбанк" от Екатерина П. 1000 р. "помощь животным" с карты **6546 от Ольга Ш.
Долг по КТ 2790 р.
|
| |
| |
| sashabreton | Дата: Ср, 31.07.2024, 15:26 | Сообщение # 6 |
|
Генерал-полковник
Группа: Администраторы
Сообщений: 1118
Репутация: 0
Статус: Оффлайн
| Друзья, пожалуйста, помогите дособирать долг по теме.
Завтра, 1 августа, везем Фромма еще раз в клинику В добрые руки, ему нужно будет делать санацию и чистку с лекарством. Просто таблетки не помогают, к сожалению, его ситуация уже запущенная, и мы это понимали. Просто не делают такие процедуры, пока все анализы не придут. Ему фактически не лучше. Если честно, мы не хотим подробно описывать его заболевание и возможные причины его получения. Это сильно выбивает нас из колеи, а нам надо заниматься его здоровьем.
Результаты риноскопии и все анализы. И подтверждение покупок таблеток (оплачено Анной).






|
| |
| |
| sashabreton | Дата: Пт, 02.08.2024, 14:42 | Сообщение # 7 |
|
Генерал-полковник
Группа: Администраторы
Сообщений: 1118
Репутация: 0
Статус: Оффлайн
| Друзья, если переводы приходят без пометки кому, то мы не можем определить в чью копилку. Если здесь вы не нашли своего перевода - напишите на ватсап Кате 8-964-579-10-61.
Переводы добра
VISA9419 05:34 Перевод 1500р от Татьяна Г «Фромму!!»
Долг по КТ 1290 р.
|
| |
| |
| sashabreton | Дата: Ср, 07.08.2024, 13:44 | Сообщение # 8 |
|
Генерал-полковник
Группа: Администраторы
Сообщений: 1118
Репутация: 0
Статус: Оффлайн
| VISA9419 14:44 Перевод 1500р от Любовь С. «Фромм»
Друзья, вы помогли нам закрыть долг за КТ.
Пока Фромму не особо лучше, мы верим, что все получится. Впереди еще одна операция, будем держать в курсе.

|
| |
| |
| sashabreton | Дата: Чт, 22.08.2024, 11:29 | Сообщение # 9 |
|
Генерал-полковник
Группа: Администраторы
Сообщений: 1118
Репутация: 0
Статус: Оффлайн
| Друзья, новости Фромма. Хотя правильнее писать - Горести Фромма. Сопутствующие затраты, на которые нам нужна помощь. Не на все лекарства есть чеки, пришлось просить купить ему лекарства не волонтеров, и чеки не сохранились.
16 августа Фромм поехал на процедуру с лекарством Клотримазол к Дудочкину. Но доктор, осмотрев и выслушав наши пояснения относительно его самочувствия, отказал в процедуре без дополнительного КТ из-за опасности попадания лекарства сразу в головной мозг. Клотримазол мы купили 986 р. + еще 1153 р. таблетки которые он принимает. Минус темы 2139 р.
На приеме 16.08.24

 чеки


|
| |
| |
| sashabreton | Дата: Пт, 23.08.2024, 15:20 | Сообщение # 10 |
|
Генерал-полковник
Группа: Администраторы
Сообщений: 1118
Репутация: 0
Статус: Оффлайн
| По итогам КТ назначены антибиотики. Купили, ушли еще в минус 4134 р. Процедуру можно проводить, так что скоро Фромм снова поедет на очередное испытание.



|
| |
| |
| sashabreton | Дата: Пн, 26.08.2024, 10:57 | Сообщение # 11 |
|
Генерал-полковник
Группа: Администраторы
Сообщений: 1118
Репутация: 0
Статус: Оффлайн
| Минус темы у Фромма все растет.
Закуплены еще лекарства. Теперь - 7356 р. Очень нужна помощь. Наша карта СБ 4276 3800 5075 9419 Светлана Ивановна С. Фромму
29 августа процедура с Клотримазолом, надеемся в этот раз все получится.
|
| |
| |
| sashabreton | Дата: Пн, 02.09.2024, 11:21 | Сообщение # 12 |
|
Генерал-полковник
Группа: Администраторы
Сообщений: 1118
Репутация: 0
Статус: Оффлайн
| Друзья, прежде всего хотим поблагодарить всех, кто помогает нам с лечением Фромма и всех остальных собак. У нас конечно открылось второе дыхание, чтобы всех лечить и тянуть и в приюте и на передержках, но становится все труднее и труднее.
VISA9419 10:10 Перевод 5000р от Никита Е. «Фромму»
Горести Фромма: Процедуру сделали. Прогнозы все еще осторожные. У анестезиологов уже есть вопросы к следующим процедурам - надо будет сделать ЭХО сердца, надо набирать вес. Столько седаций уже было и еще неизвестно сколько их впереди. Потрачено 31244 р. Анна смогла оплатить почти весь чек 29000 р.



К нашему горю Фромм очень плохо ест, каждый прием лекарств превращается в рулетку - будет эти консервы или не будет. Выплюнет - не выплюнет. У него уже ассортимент как в большом зоомагазине. Тех граммов, какие удается запихнуть в него с лекарствами, катастрофически не хватает для питания. Вот с таким набором мы приехали в субботу. Катя оплатила сама все продукты, чтобы понять, что ему больше понравится... В итоге он полностью забраковал творог, тушенку съел лишь первые 3 ложки, ливерную колбасу начал есть, но когда понял, что там лекарства, начал выплевывать. В итоге капсулы удалось растворить в детском питании и он съел 2 маленьких баночки Темы. Теперь мы планируем давать ему все в более размягченном и разбавленном виде, может получше будет есть. Про кормление в воскресенье расскажем на днях.



Купили еще консервов на 3340 р.

Минус темы на данный момент 7940 р.
|
| |
| |
| sashabreton | Дата: Вт, 03.09.2024, 13:05 | Сообщение # 13 |
|
Генерал-полковник
Группа: Администраторы
Сообщений: 1118
Репутация: 0
Статус: Оффлайн
| Наш волонтер Марина посмотрела субботние сториз из приюта о кормлении Фромма и немедленно приступила к варке еды для него. И пока все получилось идеально - удалось и капсулы и таблетки дать и просто накормить. Утром и вечером девочки ходили к нему в изолятор. Огромное спасибо Марине, вся команда благодарит ее. Будем надеяться что Фроммчик оценит, может аппетит вернется и он и консервы начнет есть с большим удовольствием.
К сожалению пока не разобрались как быть с видео. Поэтому пока ссылкой
https://rutube.ru/shorts/4d21a013a9f46d7f80df76b46cb02910/
Немножко фото.

и стерилизация, как положено.


Фроммчик был рад
|
| |
| |
| sashabreton | Дата: Вт, 10.09.2024, 12:44 | Сообщение # 14 |
|
Генерал-полковник
Группа: Администраторы
Сообщений: 1118
Репутация: 0
Статус: Оффлайн
| Благодарим за поддержку Любовь, в каждую тему по переводу, спасибо огромное... VISA9419 00:12 Перевод 1000р от Любовь С. «Фромм»
Минус темы 6940 р.
Из Горестей Фромма: пошел отказ от самодельного паштета, больше он его не хочет. Подвезли в воскресенье еще 6 баночек детского питания, и пока ест Рекавери... Сколько это продлится неизвестно. Если смешивать вкусы, он тоже не ест их. Это фото тех консерв, что докупали как раз на случай, когда начинает воротить нос.
|
| |
| |
| sashabreton | Дата: Пн, 16.09.2024, 09:10 | Сообщение # 15 |
|
Генерал-полковник
Группа: Администраторы
Сообщений: 1118
Репутация: 0
Статус: Оффлайн
| Как его лечить, если денег совсем нет?  Это замкнутый круг, в котором мы носимся как белке в колесе. И ведь он не виноват совсем...
Друзья, вы нам очень помогаете, пожалуйста, давайте еще немножко постараемся. Любая сумма будет снижать минус, это уже что-то...
Новая партия таблеток, отдали в субботу в ветблок.

Приход от наших друзей Вики и Димы - 2500 р. 
Минус темы 7960 р.
|
| |
| |
| sashabreton | Дата: Вт, 17.09.2024, 09:42 | Сообщение # 16 |
|
Генерал-полковник
Группа: Администраторы
Сообщений: 1118
Репутация: 0
Статус: Оффлайн
| Проверили все наши приходы/расходы. Переводы добра:  VISA9419 13:13 Перевод 2000р от Александр Ч. «Помощь собакам» VISA9419 20:10 Перевод 2000р от Александр Ч. «помощь собакам» VISA9419 15:08 Перевод 1000р от Елена Е. «Собачкам.»
Минус темы 2882 р.
|
| |
| |
| sashabreton | Дата: Ср, 18.09.2024, 08:48 | Сообщение # 17 |
|
Генерал-полковник
Группа: Администраторы
Сообщений: 1118
Репутация: 0
Статус: Оффлайн
| Закрыли минус копилки на данный момент своими силами. Лечение Фромма продолжается. Друзья его таблетки еще надолго нужны, пожалуйста не оставляйте нас один на один с этой бедой. Будем рады любой помощи на его лечение.
|
| |
| |
| sashabreton | Дата: Чт, 17.10.2024, 11:04 | Сообщение # 18 |
|
Генерал-полковник
Группа: Администраторы
Сообщений: 1118
Репутация: 0
Статус: Оффлайн
| Новая партия таблеток. Благодарим Елену Голубеву за помощь. 
К сожалению риноскопия откладывается по независящим от нас причинам Ее уже надо было делать, но аппарат сломан. Мы ждем когда починят и сразу запишемся.
|
| |
| |
| sashabreton | Дата: Пн, 18.11.2024, 10:21 | Сообщение # 19 |
|
Генерал-полковник
Группа: Администраторы
Сообщений: 1118
Репутация: 0
Статус: Оффлайн
| Друзья, мы целый месяц ничего не писали в теме. Не публиковали новые закупки таблеток и чеки, а их было много.
На самом деле мы ждали пока починят аппарат В Добрых руках. Но там его так и не починили, поэтому мы поехали к Дудочкину в Амвет.
И вот, наконец, мы можем написать не Горести Фромма, а Новости Фромма.
После проведенной процедуры грибницы не обнаружены! Это победа Фромма, наша общая с вами победа над бедой, над нависшей над Фроммом смертельной опасности. Да, это было больно для него, это было утомительно для нас и очень-очень дорого.
Без Анны, нашей подписчицы в инстаграмм, мы бы его потеряли, она оплатила практически все его лечение, все процедуры и поездки в ветклиники. 
Не передать словами, как мы вам всем благодарны. К сожалению с последней поездки в Амвет у нас нет фото, но зато есть заключение врача, то, чего мы ждали, во что не особо верили, но надеялись.
Чуть позже мы обновим копилки, и будет понятно остались ли долги в теме.


|
| |
| |
| sashabreton | Дата: Пт, 29.11.2024, 09:18 | Сообщение # 20 |
|
Генерал-полковник
Группа: Администраторы
Сообщений: 1118
Репутация: 0
Статус: Оффлайн
| VISA9419 22:24 Перевод 1500р от Никита Е. «Фромму»
Сердечное спасибо.
Это из последнего, что закупали ему.
|
| |
| |
| sashabreton | Дата: Пт, 20.12.2024, 15:49 | Сообщение # 21 |
|
Генерал-полковник
Группа: Администраторы
Сообщений: 1118
Репутация: 0
Статус: Оффлайн
| Дорогие друзья, мы хотим не просто написать новости Фромма, мы хотим сказать, что его выздоровление похоже на чудо. Которое сотворили люди, участвующие в его лечении.
Фромм вернулся в сектор, в свой вольер. Мы рады его видеть. И рады, что оба глаза у него на месте и даже абсолютно не заметно, что он так сильно болел. Единственное, что будет беспокоить его теперь, это хронический ринит, будет восприимчив к респираторным заболеваниям. Ну и глаз надо будет почаще протирать и следить за ним.
В копилке Фромма остался плюсик, и мы делим его в темы - закрытие минуса у Енисея 1500 р. на лечение Эля 2057 р.
Еще раз сердечно благодарим всех помощников, кинологов приюта, волонтеров.

|
| |
| |